
MILAGRO POR SEMANA SANTA. Una mujer de 68 años fue operada de emergencia luego de tener más de 40 días un clavo atravesado en la arteria carótida. El equipo del servicio de Cirugía Cardiaca y Vascular Periférica del Hospital Almenara fue el encargado de retirar el objeto de metal.

De acuerdo al cirujano cardiovascular de EsSalud, el doctor Juan Cuipal, la anciana comió un pedazo de chicharrón en su vivienda ubicada en Ica durante una celebración. En un momento dado, sintió que algo le raspaba la garganta.
Al pasar los días el dolor se intensificó y su cuello se inflamó, por lo que pensó que era una infección. Volvió a Lima y cuando se dio cuenta que había tosido sangre, se preocupó y acudió rápidamente a emergencias.
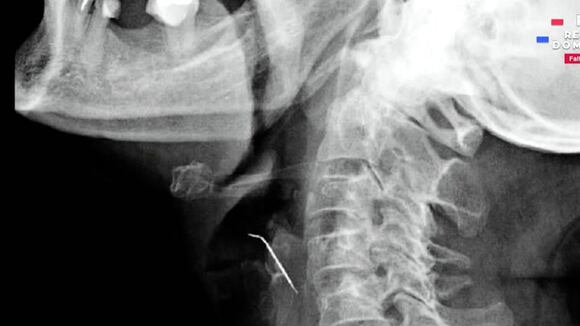
Fue así que los especialistas le realizaron exámenes y una tomografía que demostraron que un objeto metálico atravesaba la arteria importante que lleva irrigación al cerebro.
“Lo que hicimos fue retirar en la zona de la arteria, donde estaba atravesado el clavo, porque era una zona que estaba enferma y hemos logrado juntar arteria sana con arteria sana. La dificultad de este procedimiento es básicamente porque es una arteria que lleva irrigación al cerebro y cualquier movimiento en falso podría ser fatal para la paciente”, indicó Cuipal.
MÁS DE TRES HORAS DE OPERACIÓN
La cirugía duró aproximadamente 3 horas; luego de ubicar el clavo de 5 centímetros. Se realizó una delicada disección del área afectada con el riesgo de que algún coagulo se forme y llegue al cerebro.
Tras la intervención quirúrgica, la paciente salió de operaciones “despierta y movilizando las cuatro extremidades”. Estuvo hospitalizada una semana después de la cirugía y pudo volver a comer al día siguiente sin complicaciones.
PRIMERA CIRUGÍA CARDIOVASCULAR EN PERÚ
Este caso representa el primer reporte de una cirugía de este tipo en Perú y es uno de los pocos casos conocidos a nivel mundial, con menos de diez procedimientos reportados.
La señora Tello estuvo hospitalizada una semana para recibir cobertura antibiótica debido al riesgo de infección por el clavo oxidado.
La operación no solo resalta la destreza y el conocimiento médico avanzado en el país, sino también el papel crucial de la tecnología de diagnóstico en el tratamiento de emergencias médicas inusuales.











